Cardiac CT

- Cardiac structure segmentation and functional analysis
- Automated centerline creation and vessel segmentation
- Calcium scoring with multiple database options
- Atrium and pulmonary vein analysis for EP planning
- Pre-operative evaluation of coronary arteries for plaque and stenosis
- Embedded geometry for pre-operative virtual stent evaluation
Cardiac MR

- Dedicated CMR Viewer
- Automatic Short Axis Contouring1
- Longitudinal Strain Analysis
- Volumetric analysis of ejection fraction
- LV/RV inner and outer contour detection
- T1, T2/T2*, ECV Mapping
- AHA17-segment-model
- MR flow analysis
- Semi Quantitative MR cardiac perfusion
1Functionality requires TeraRecon Cardiac.Chambers.MR distribution
TAVR Workflow

- Aortic root segmentation and orientation
- Centerline pre-processing and extractions
- User-definable planning template
- Report output
- Automatic Measurement Protocols
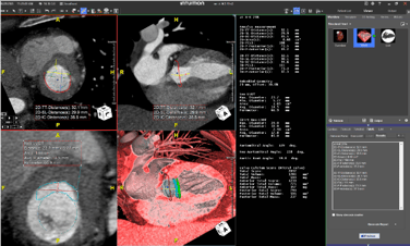
Mitral Valve/TMVR

- Guided TMVR workflow
- Optimized cardiac orientations for the mitral valve
- 2-, 3-, & 4-chamber view as well as oblique mitral valve view
- Key measurements include trigon-to-trigon distance (TT), septal-to-lateral (SL) distance, intercommissural (IC) distance measurements
- Saddle-shape or D-shape options
- Aortomitral angle measurement
LAA

- Guided LAA workflow
- Optimized cardiac orientations for the LAA
- Key measurements include landing zone, wall depth, ostium, c-arm angle, and compression measurements
- Embedded device simulation with compression percentage
- Fluoroscopy view with measurements and device
- LAA report with measurements and captured images
CT Body

- Organ volume and histogram output
- Dynamic data support
- Sphere-like structure identification
- Dynamic image filtering
- Dual-source data support
- Colon flythrough
MR Body

- 2D, 3D, 4D MR image sequencing
- MIP and MRA evaluation with centerline tools
- Analysis and follow-up tools
- Time-intensity ROI analysis
- Parametric mapping of body parts such as breast or prostate
- Kinetics, time-to-peak, time to the enhancement and maximum slope evaluation
Body Fusion

- Registration fusion
- Subtraction
- CT, MR, PET, SPECT
- Motion-correction
- Min, max, mean, standard deviation, standard uptake values (SUV)
- Findings viewer and follow-up
- Mirada XD Integration (Add-On)
Liver Segmentation

- Semi-automated liver segmentation
- Vascular classification options
- Multi-cut option for pre-surgical planning
- Dynamic image filtering with configurable filtering strengths
CT Chest

- Semi-automated lung segmentation
- Lung volume and histogram analysis
- Sphere-like structure identification
- Comparative tracking-over-time options
- Virtual flythrough
- Rib Labeling
Lung Segmentation

- Lung and trachea segmentation
- Lung and lobe volumetric analysis
- Lung, airway, and vessel anatomical fusion
- Treatment planning simulation
- Low attenuation
Lung Density Analysis II

- Semo-automated lung segmentation
- Lung volume and histogram analysis
- Sphere-like structure identification
- Comparative tracking-over-time options
- Virtual flythrough
- Rib Labeling
EVAR Workflow

- Pre-generated centerlines
- User-definable planning template
- Diameter vs. distance and cross-sectional views
- Straightened view, diameter, and length measurements
- Embedded vendor-specific report templates
Interventional Radiology

- Centerline analysis tools
- Stent-graft planning
- Curved planar reformation
- Analysis and follow-up tools
- Perspective flythrough
CT Head and Neck

- Automatic centerline identification simplifies stenosis measurements
- Dual source data support
- Time density evaluation: maps include CBF, CBV, MTT, TTP, Tmax*, hypoperfusion*, mismatch*, and more
- Multi-modality image fusion and image subtraction
*Results provided by TeraRecon Neuro
Neuro CT Perfusion Workflow*

- Tmax
- Mismatch
- Hypoperfusion Maps
*Results provided from TeraRecon Neuro
Maxillofacial

- Panoramic projection
- Cross-sectional multi-planar reconstruction
- Definable mandibular groove path
Vertebral Labeling Workflow
- One click center line creation
- True axial
- Coronal reformats
Rib Labeling Workflow
- Rib Labeling
- Centerline generation
- Fishbone image display
- Efficient fracture detection and evaluation
Alignment Measurements
- TT-TG measurement
- Cobb angle measurement
TeraRecon AV is the leading advanced visualization platform for enterprise-wide medical imaging. Our AI-driven solution provides advanced 3D and 4D imaging capabilities, empowering clinicians in specialties like cardiology, oncology, neurology, and more with the precision and speed needed for confident diagnoses and treatment planning. Experience a new level of efficiency and clinical excellence by unifying your advanced imaging needs on a single, powerful platform.
General Workflows: Volumetric Navigation, iGentle, Autobatch, Autoworkflow
AI-Enabled Clinical Workflows: Best-of-Breed AI Content
Click on the hotspots to learn more about each clinical solution.CARDIOLOGY
Assess & Plan Interventions with a Comprehensive Toolkit
- CT Cardiac
- MR Cardiac
- Optimized Reporting
- TAVR
- TTVR
- Mitral Valve/TMVR
- LAA
- Reduced interpretation time
- Enhanced pre-procedure planning
- Operational efficiency
BODY IMAGING/ONCOLOGY
Precise Imaging Workflows to Aid Complex Cancer Treatments
- CT Body
- MR Body
- PET/CT Fusion
- Liver Segmentation
- Segmentation Measurement
- Tracking
- Streamlined Screening
- Enhanced Patient Monitoring
- More Personalized Care Plans
- Improved Outcomes and Clinician Confidence
PULMONOLOGY
Reliable Tools to Aid in Addressing Pulmonary Disease
- CT Chest
- Lung Segmentation
- Lung Density Analysis II
- Diagnostic support
- Streamlined workflows
- Precise planning for interventions
- Faster decision making & better patient management
NEUROLOGY
Stroke Care, Timely Automation, and Optimized Neuro Disorder Workflow
- CT Head & Neck
- Brain Perfusion
- Maxillofacial
- Faster patient assessment
- Improved collaboration between neurology and radiology
- Stroke intervention insights
- Single, cohesive AI-enabled AV solutions
VASCULAR
Informed Diagnosis & Planning for Complex Situations
- EVAR
- Interventional Radiology
- Calcium Workflow
- Aorta.CT, AI-automated Workflow*
*Requires TeraRecon Aorta.CT
- Automated segmentation & labeling
- Enhanced planning for interventional procedures
- Single, cohesive AI-enabled AV solutions
MSK
Precise Imaging Workflows to Aid Complex Treatments
- Vertebral Labeling Workflow
- Rib Labeling Workflow
- Alignment Measurements
- Semi-automated vertebral and rib labeling across axial, sagittal, coronal, and 3D views dramatically reduces manual effort while accelerating interpretation workflows.
- Dynamic, intuitive visualization tools bring complex anatomy to life—making joint disarticulation fast, precise, and effortless.
- Advanced 2D and 3D anatomical visualization and measurement tools empower confident decision-making for trauma fixation, angle and length assessment, bone alignment, joint space evaluation, Cobb angles, TT-TG, and much more.